眼睛發紅?多半是得了紅眼病!

但是,眼紅并不等于紅眼病,我們需要搞清楚二者的關系。除了結膜炎所致的紅眼病之外,鞏膜炎也有眼睛發紅的癥狀,若錯將鞏膜炎當成了紅眼病來治療,后果很危險。因為,鞏膜炎并發的眼疾具有致盲性,若不及時治療有可能將你的視力給偷走。
鞏膜炎分前后,癥狀也有所不同
鞏膜炎也分很多種類,它們的癥狀以及嚴重性程度都有所區別,根據發病部位的不同,鞏膜炎可分為前鞏膜炎以及后鞏膜炎。
1、前鞏膜炎
前鞏膜炎是指位于赤道部前的鞏膜發生了病變,也就是我們平時可以肉眼觀察到的眼白部分,大部分患者是雙眼發病,伴隨劇烈的眼部疼痛,有并發葡萄膜炎、角膜炎、白內障、青光眼的風險。根據病變特點,還可分為三種:
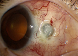
(1)廣泛性前鞏膜炎:病變的鞏膜部位出現彌漫性出血,鞏膜顏色呈藍色或紫色,這種類型相對“友好”,一般很少合并嚴重的全身性疾病。

(2)結節性前鞏膜炎:發炎的鞏膜區域呈紫紅色充血,炎癥浸潤與腫脹壓痛,大部分患者有多個結節,且質地較硬、難以推動,易導致角膜硬化而引發硬化性角膜炎。
(3)壞死性鞏膜炎:雖然比較少見,但這是一種十分嚴重的鞏膜炎,早期癥狀表現為局部鞏膜炎性斑塊,發展到晚期之后鞏膜會壞死變薄,能直接看到后面的脈絡膜,若不及時治療還可能危害到脈絡膜或角膜,導致一些致盲性的眼病。

2、后鞏膜炎
顧名思義,后鞏膜炎位于后方鞏膜,大多數患者是一只眼發病,由于其位置的特殊性眼部前段看不出明顯癥狀,一般表現為眼紅、眼痛、視力減退等,若發展至晚期還可能出現眼球突出、眼瞼水腫、復視等癥狀。
鞏膜炎可并發致盲性眼病,保護需及時!
鞏膜炎本身雖然不會對視力產生較為嚴重的影響,但其引發的葡萄膜炎、鞏膜壞死和青光眼等并發癥都屬于較為嚴重的致盲性疾病。除此之外,鞏膜炎還經常是全身性結締組織疾病或免疫相關疾病在眼部位置的表現,比如風濕性關節炎、系統性紅斑狼瘡等。因此,若能早點發現并且及時治療,對于眼部疾病以及其他全身性疾病的治療都是十分重要的。
對于鞏膜炎的治療,需根據病因來進行。若是因風濕性關節炎所致,那么便需要對風濕性關節炎進行治療,否則眼部的炎癥即使得到緩解依舊也容易反復發作。針對眼部的消炎治療則以藥物為主,根據病情的程度選擇采用局部滴用類固醇藥物或者口服類固醇藥物,可以緩解眼部炎癥以及疼痛。若藥物治療作用不大,上海眼科醫院將考慮為患者進行免疫抑制劑治療。

若能夠及早發現并進行消炎治療,可降低鞏膜炎引發并發癥的概率,一般不會對視力造成嚴重影響。若不幸發生了并發癥怎么辦呢?我院的醫生也將對患者進行積極治療。若發生了繼發性青光眼,會為患者進行青光眼治療,而對于已經壞死或者穿孔的鞏膜部位可通過鞏膜移植手術進行修補。
當眼睛發紅、發炎時,可能是身體在給我們發出警示信號,提醒我們該引起注意了。由于鞏膜炎的部分癥狀與紅眼病較為類似,很容易就因為誤會而延誤治療,更不能抱著僥幸心理覺得拖一拖就會好,畢竟我們不能拿健康的眼睛當做賭注。因此,上海眼科醫院提醒:當眼部出現不適癥狀時,需及時前往醫院進行檢查。 》》》立即咨詢客服